MR Elastography or Elastography with Fat Fraction and Iron Quantification

Scan Notes

Last updated: 1/31/2024

Charge as: Abdomen WO

Scanner preference: MR CHH2, MR1, and MR2

Coil: Torso Coil

Technologist Notes

If the order is for MRI ELASTOGRAPHY ONLY WO CONTRAST, all that is required to be imaged is the Localizers and the Elastography Maps. If needed for localization purposes we can also perform an Ax T2 FS.

SCANNER:

Restart the driver at CHH (it needs to be turned off/on)

POSITIONING:

Tip sheet for positioning and scanning elastography on a Siemens
: MR Elastography-Tech Tips-Numaris X Job Aid

DRAWING ROIs:

- The ROI should be drawn 1 cm from the liver edge. Do not include the entire liver.

- Send the images with ROIs to PACS.

- Send the raw data to PACS just in case the ROIs need to be redrawn by the radiologist.

TROUBLESHOOTING

There have been some issues with Elastography not working on patients with high iron on CHMR2. Siemens has built a SE-EPI based (versus standard GRE-EPI) Elastography sequence. Please run SE-EPI as a second option if  you believe the examination is compromised due to high iron. 

In and out of phase T1s: The liver is darker on the In phase if there is Fe deposition.

In and out of phase T1s: The liver is darker on the In phase if there is Fe deposition.

FE Quant information for MRI techs

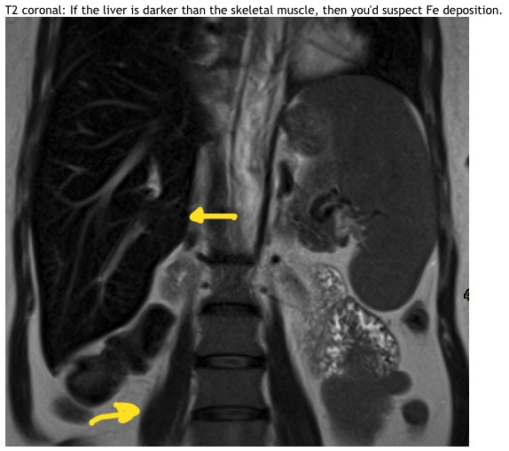
T2 coronal: If the liver is darker than the skeletal muscle, then you'd suspect Fe deposition.