MR Dynamic Pituitary WWO Neuro Protocol
Last updated: 01/20/22
Charge as: Brain WWO
Scanner preference: Siemens 3T > Philips 3T > Siemens 1.5T
Coil: Head
| Plane | Weighting | Mode | Slice (mm) | Gap (mm) | FAT SAT | FOV (cm) | MPR | Notes |
|---|---|---|---|---|---|---|---|---|
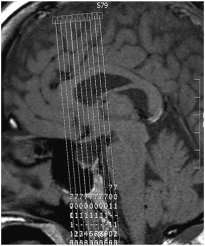
| SAG | T1 | 3D TSE | 0.7-1.0 | 0 | no | 18 | AXIAL, COR | Center on pituitary. L-R coverage 8 cm. Angle to interhemispheric fissure. |
| COR | T2 | TSE | 1.5 | 0 | no | 13 | no | Angle perpendicular to corpus. Pituitary only. |
Contrast injection
Power inject contrast @ 2cc/sec
Inject when the 1st dynamic ends and the 2nd dynamic begins
20cc saline flush @ 2.0 cc/sec
You may increase # of slices, but ensure that EACH DYNAMIC does NOT EXCEED 20 sec.
| Plane | Weighting | Mode | Slice (mm) | Gap (mm) | FAT SAT | FOV (cm) | MPR | Notes |
|---|---|---|---|---|---|---|---|---|
| COR | T1 | TSE DCE (dynamic) | 2 | 0.2 | no | 15 | no | Dynamic scans to cover the Pituitary only. Each Dyanamic should not exceed 20 seconds. |
| SAG | T1 | 3D TSE | 0.7-1.0 | 0 | no | 18 | AXIAL, COR | Center on pituitary. L-R coverage 8 cm. Angle to interhemispheric fissure. |
| COR | T1 | TSE | 1.5 | 0 | YES | 13 | no | Angle perpendicular to corpus. Pituitary only. |