MRI Pelvis Sports Hernia WO MSK Protocol

Scan Notes:

Center at symphysis pubis

If hardware is present:

  • Do Axial and Coronal STIR instead of fat-sat mid-TE
  • If with Contrast, do non-fat-sat T1 post-contrast

Last updated: 4/8/19

Charge as: Pelvis WO

Scanner preference: 3T or Ingenia only

Coil: Torso Coil

Plane Weighting Mode Slice Gap FAT SAT FOV Notes
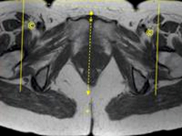
AXIAL T2 SPAIR TSE 3-4 mm 0.5-1mm SPAIR both hips 1 cm above acetabulum thru symphysis pubis
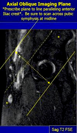
AX OBL PD (TE=20msec) TSE 3-4 mm 0.5-1mm None 20cm Parallel anterior iliac crest, from crest thru hip joint
AX OBL T2 SPAIR TSE 3-4 mm 0.5-1mm SPAIR 20cm Parallel anterior iliac crest, from crest thru hip joint
SAG T2 SPAIR TSE 3-4 mm 0.5-1mm SPAIR 20cm Ischial tuberosity to ischial tuberosity (NOT skin to skin)
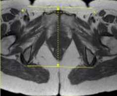
COR T1 TSE 3-4 mm 0.5-1mm None both hips 1cm anterior to symphysis pubis thru both ischial tuberosities
COR T2 STIR (TE=50-60) TSE 3-4 mm 0.5-1mm STIR both hips 1cm anterior to symphysis pubis thru both ischial tuberosities
MRI Pelvis Sports Hernia WO MSK Protocol image 1
MRI Pelvis Sports Hernia WO MSK Protocol image 4
MRI Pelvis Sports Hernia WO MSK Protocol image 2
MRI Pelvis Sports Hernia WO MSK Protocol image 5
MRI Pelvis Sports Hernia WO MSK Protocol image 3
MRI Pelvis Sports Hernia WO MSK Protocol image 6