MR Novartis CCNP520A2202J (5175) (Subject) Research Protocol

Last updated: 4/12/19

Charge as: Brain WO, No Read

Scanner preference: MR4 only

Coil: Head coil 

Sequence Change Parameters? Change # slices? Coverage/ Angulation Notes
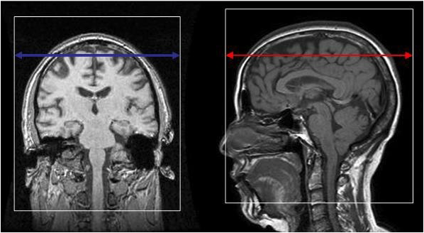
SAG 3D T1 TFE NO NO Be sure to cover the brain both LR and AP. Be sure to cover the brain both LR and AP. Leave about 15 mm from top of the head to the top of the FOV. SEE IMAGE BELOW
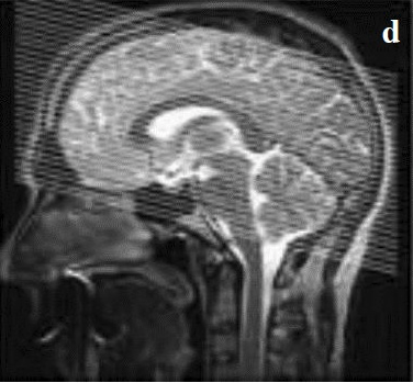
Axial FLAIR NO NO Angle parallel to AC-PC line Acquisition stack must fully cover subject's brain, starting at the vertex down to the cerebellum. SEE IMAGE BELOW
Axial T2* GRE NO NO Same as Axial Flair Same as Axial Flair
Dual Echo PD/T2 NO NO Same as Axial Flair Same as Axial Flair
AX DWI NO NO No angle No angle. Send source images to PACS
AX DTI NO NO No angle No angle. Send source images to PACS
AXIAL FIELD MAP NO NO Angulate parallel to AC-PC line, then tilt 15 degrees toward TOP of head Angulate parallel to AC-PC line, then tilt 15 degrees toward TOP of head. Send source images to PACS. SEE IMAGE BELOW
2D AXIAL fMRI RESTING NO NO Same as Axial Field Map Same as Axial Field MapInstruct subject to KEEP EYES OPEN AND STAY AWAKE for duration of scan (10 minutes).

Send source images to PACS.
REPEAT SAG 3D T1 TFE NO NO Same as prior Same parameters as prior. 
MR Novartis CCNP520A2202J (5175) (Subject) Research Protocol positioning image

SAG 3D T1 TFE

Be sure to cover the brain both LR and AP. Leave about 15 mm from top of the head to the top of the FOV.

MR Novartis CCNP520A2202J (5175) (Subject) Research Protocol positioning image

Axial FLAIR

Acquisition stack must fully cover subject's brain, starting at the vertex down to the cerebellum

MR Novartis CCNP520A2202J (5175) (Subject) Research Protocol positioning image

AXIAL FIELD MAP

Angulate parallel to AC-PC line, then tilt 15 degrees toward TOP of head. Send source images to PACS