MR Adrenal Mass W/WO BODY Protocol

Scan Notes

Last updated: 6/25/19

Charge as: Abdomen W/WO

Scanner preference: 1.5T

Coil: Torso Coil

  • Send ADC maps
  • Send Subtractions
  • FOV: do not include patient’s arms

Breath Holds:

  • Scan on expiration.
  • Monitor that patient is breath-holding. Breathe the patient slowly so they have time to follow instructions. Do not start scan until the patient has stopped breathing.
  • Give 2L O2 if it will help with breath-holds UNLESS PATIENT HAS COPD OR ANOTHER REASON NOT TO GIVE O2.
MR Adrenal Mass WWO BODY Protocol image
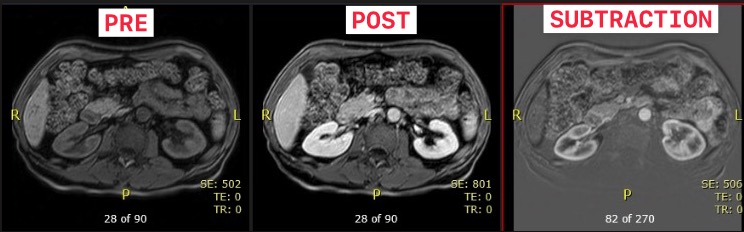
MRI Abd Pre Post Subtraction
Please check images to ensure contrast is present and subtractions have been generated. Manually generate subtractions if needed.
Plane Weighting Mode Slice Gap FAT SAT FOV Notes
Cor T2 SSFSE BH 5mm 0.5mm None Diaphragm to Aortic bifurcation Abdominal wall to abdominal wall Ensure liver is well-centered in coil to ensure good signal at dome.
Axial T1 Dual Echo SPGR BH 3mm 0.5mm None Fit to Patient Liver through upper pole of kidneys Center over adrenals. Call rad if help is needed to locate adrenals.
Cor T1 Dual Echo SPGR BH 3mm 0.5mm None Diaphragm to Aortic bifurcation Abdominal wall to abdominal wall Center over adrenals. Call rad if help is needed to locate adrenals.
Axial T1 3D mDixon pre BH - - Yes Fit to Patient Diaphragm to Aortic bifurcation Ensure quality before contrast injection, ie wrap. Check if there is mottling (SENSE break-through) in the center of the image.
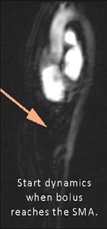
Power Inject Contrast Bolus Track Trigger when bolus reaches the SMA
Axial T1 3D mDixon x3 phases BH - - Yes Fit to Patient Diaphragm to Aortic bifurcation Exact parameters as the pre-mDixon. Do all 3 phases (Arterial, Arterial/Venous, Delay) one right after another, as soon as the patient can hold their breath again.
COR T1 3D mDixon post - - Yes Diaphragm to Aortic bifurcation Abdominal wall to abdominal wall Perform @ 3 minutes post contrast.
Axial T2 TSE FS 5mm 1mm Yes Fit to Patient Diaphragm to Aortic bifurcation
Axial T2 DWI 7mm 1mm SPIR Fit to Patient Diaphragm to Aortic bifurcation Trigger & track. Free-breathing sequence, so please position slices according
Bolus track SMA