Avasare Autoimmune Kidney Disease Laboratory

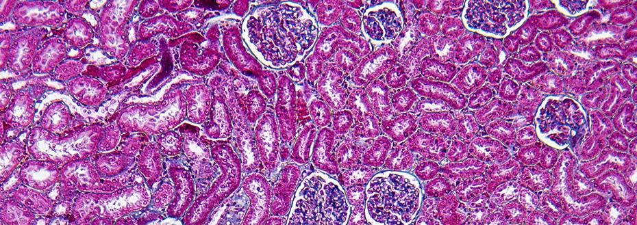
Human kidney cortex section showing Bowman capsules and glomerulus at magnification X100.
This magnified image shows the kidney cortex, the outer layer of the kidney. Dr. Rupali Avasare and her team use human bio-samples to study how autoimmune kidney disease develops.

Research on autoimmune kidney disease causes and treatments

The Avasare lab studies how autoimmune kidney diseases develop and how to treat them. We use research participant samples and animal models to learn mechanisms of autoimmunity. 

Our goal is to understand environmental triggers for immune dysregulation and how to prevent the physical damage autoimmune kidney diseases cause. We also study how to best treat people with these diseases. Many of our research projects focus on diseases that attack and damage the glomerulus, the kidneys’ filtration unit. 

A great deal of research on kidney diseases focuses on treatment. Much of our research is unique because we also investigate how disease develops.

On this page you can:

Accomplishments

  • We are the first group to publish on the association between lipoic acid, a common dietary supplement, and NELL1 membranous nephropathy, a rare autoimmune kidney disorder. Our findings informed treatment guidelines for NELL1.
  • Our research expertise helps us lead the only glomerular disease program in the region.
  • We run large clinical trials focused on treating glomerular diseases.

Lab news

Rupali Avasare, M.D., and Nicholas Day, Ph.D., won a PMedIC Innovation award in July 2025. The award grants them funding for their project studying how lipoic acid supplements may trigger NELL1 membranous nephropathy.

Hillary Struthers, Ph.D. student, won an OSLER program award in August 2025. The award supports her work studying lipoic acid and NELL-1 membranous nephropathy.

Rupali Avasare, M.D., and a team of researchers presented at the American Society of Nephrology Kidney Week in November 2025.

Research projects

Understanding the link between lipoic acid and NELL1 membranous nephropathy

Our groundbreaking work on lipoic acid and NELL1 membranous nephropathy led to funding from the National Institutes of Health.

We are studying people using lipoic acid who are at risk for NELL1 membranous nephropathy. We look at whether circulating antibodies that target the NELL1 protein and proinflammatory T cells cause protein in the urine.

This research could establish NELL1 antibody as a useful disease biomarker. It could also show the role of T cells in causing the disease, leading to possible treatments.

Three Western blot test strips. The positive control strip shows a band for the NELL1 protein above 250 kDa. The negative control strip shows no band. The NELL1 patient strip shows a band, similar to the positive control strip.

The Avasare Lab uses Western blot imaging to detect NELL1 antibody.

Dozens of PBMC-isolated immune cells are white and yellow on a gray background. A grid overlay helps show their relative sizes.

The lab team uses Peripheral Blood Mononuclear Cell (PBMC) isolation to separate immune cells from whole blood. This image shows the separated immune cells.

Podocytes cell culture photo

This image shows cultured podocytes under a microscope. Cultured podocytes are lab-grown kidney cells used to study kidney disease.

Join the lipoic acid and nephropathy study

Adults who take lipoic acid can donate blood and urine samples to this study.

Email Madison Stanaway to participate.

Kidney disease biorepository

We are building a database that stores clinical information, kidney biopsy specimens, and blood and urine samples from patients with or at risk for autoimmune kidney disease. The data will inform future studies on the diagnosis, outcomes and treatment of autoimmune kidney conditions.

Donate to the kidney disease biorepository

Adults aged 18 to 89 are eligible. We are seeking participants who have or are at risk for autoimmune kidney disease, as well as healthy volunteers.

Email Madison Stanaway to participate.

Clinical trials

NefXtend clinical trial for immunoglobulin A (IgA) nephropathy

IgA nephropathy happens when IgA antibodies build up in the kidney’s glomerulus, leading to inflammation and damage. The standard treatment is to take the prescription medicine TARPEYO® for nine months.

This TARPEYO® clinical trial studies whether taking medication for two years is more effective.

Adults who have completed nine months of TARPEYO® and have at least 0.5g per day of protein in the urine are eligible. Talk to your kidney doctor if you are interested in the trial.

Transformative research in diabetic nephropathy (TRIDENT) clinical trial

Over time, both Type 1 and Type 2 diabetes can damage the glomerulus. We and our partners are collecting health information, blood, urine, and kidney biopsy samples from patients to better understand progressive diabetic kidney disease.

Adults with Type 1 or Type 2 diabetes who need a kidney biopsy may be able to participate. Talk to your kidney doctor if you’re interested.

Learn more about the TRIDENT clinical trial.

Iptacopan clinical trial for immune complex membranoproliferative glomerulonephritis (IC-MPGN)

Immune complex membranoproliferative glomerulonephritis (IC-MPGN) is a rare autoimmune condition where immune system proteins build up in the glomerulus, causing inflammation and damage.

This study evaluates the safety and outcomes of treatment with iptacopan, a medication to treat protein in the urine.

Talk to your kidney doctor if you want to participate. Adults may be eligible who have:

  • Biopsy-proven IC-MPGN
  • eGFR greater than 30 mL/minute
  • At least 1.0 g per day of proteinuria

Learn more about the iptacopan clinical trial.

Daratumumab clinical trial for proliferative glomerulonephritis with monoclonal immunoglobulin deposits (PGNMID)

Proliferative glomerulonephritis with monoclonal immunoglobulin deposits (PGNMID) is a rare condition where a type of antibody deposits abnormally on the glomerulus, damaging it. Most people with the condition progress to end-stage kidney disease.

This study evaluates the safety and outcomes of treatment with daratumumab, a medication used to treat bone marrow cancer. All participants will receive six months of treatment.

Talk to your kidney doctor if you want to participate. Adults may be eligible who have:

  • Biopsy-proven PGNMID
  • eGFR greater than 20 mL/minute
  • At least 1.0 g per day of proteinuria

Learn more about the daratumumab clinical trial.

Publications

Find more publications by Dr. Avasare through the National Library of Medicine.

Questions and Caveats in Antigen-Defined Membranous Nephropathy
Journal of the American Society of Nephrology 2025
Andeen NK, Kung VL, Avasare RS, Barbour S, Griffith M, Bissonnette MLZ, Roufosse C

Drug-Induced Membranous Nephropathy: Piecing Together Clues to Understand Disease Mechanisms
Journal of the American Society of Nephrology 2025
Avasare RS, Andeen NK, Al-Rabadi LF, Burfeind KG, Beck LH Jr.

Bartonella Endocarditis-Associated Glomerulonephritis: A Mimicker of Autoimmunity and Vasculitis
Kidney International Reports 2025
Andeen NK, Kung VL, Nguyen JK, Avasare RS, Nakhoul GN, Shrestha NK, Makadia JT, Jesperson T, Nast CC, Choung GHY, Herlitz L

NELL1 membranous nephropathy: clinical associations provide mechanistic clues
Frontiers in Nephrology 2024
Andeen NK, Kung VL, Avasare RS

Characteristics and Outcomes of NELL1 Membranous Nephropathy in Lipoic Acid Users and Nonusers
Kidney International Reports 2024
Avasare RS, Clark S, Spain RI, Wusirika R, Rope R, Gurley S, Stanaway M, Sekulic M, Santoriello D, Bomback AS, Canetta P, Iyer SJ, Kung V, Charu V, Troxell ML, Kudose S, Andeen NK

Meet the team

Rupali Avasare, M.D., leads the Avasare lab. The lab is a supportive and collaborative environment, often working with other nephrology labs at OHSU.

Outside of work, lab members enjoy holiday gatherings, summer barbecues and celebrating successes together.

Avasare lab team photo
Avasare team working in the lab
    • Appointments and titles

      • Associate Professor of Medicine, Division of Nephrology and Hypertension, School of Medicine
    • Areas of interest

      • Glomerulonephritis clinical outcomes

Contact us

Email avasare@ohsu.edu to:

  • Ask questions
  • Partner with us

Join a study or clinical trial

We are recruiting adults who have or are at risk for autoimmune kidney disease.

Donate

Support our groundbreaking kidney disease research.