Research

Research highlights

Faculty at the AIRC are involved in cutting-edge research in MR science and technology. The following is a sample of research topics investigated by faculty at the AIRC:

Improving diagnosis and treatment monitoring

Breast cancer

  • Wei Huang is using advanced quantitative MRI techniques, including the OHSU AIRC-developed Shutter-Speed dynamic contrast-enhanced (DCE) MRI method, to (1) improve breast cancer diagnostic accuracy and reduce unnecessary biopsy procedures on women with benign lesions and (2) predict breast cancer response to neoadjuvant chemotherapy.  Furthermore, Wei Huang and his collaborators are exploring ways to integrate MRI markers with clinical, genetic, and histopathological markers to significantly improve the power of accuracy in predicting cancer response to treatment, an important step towards achieving precision medicine for individual cancer patients.  The Figure at right (click the image to enlarge) demonstrates that, using DCE-MRI markers Ktrans (rate constant for contrast agent transfer between blood vessel and tissue), ve (extravascular and extracellular volume fraction), and τi (mean intracellular water lifetime), we can predict whether a breast cancer patient responds to neoadjuvant chemotherapy or not after only one cycle of a 6-8 cycle chemotherapy course, which usually lasts 4-5 month long.  The substantial decrease in tumor Ktrans and increases in tumor ve and τi from pre-treatment MRI at visit 1 (V1) to MRI after one cycle of chemotherapy at visit 2 (V2) are clearly visible for a responder (Figure A), while there are no noticeable changes in these markers in a non-responder (Figure B).

Brain cancer

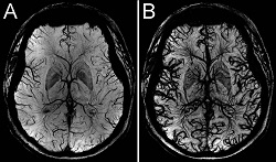
  • Drs. GrinsteadRooney, Gahramanov, and Neuwelt are investigating the use of iron-based contrast agents to improve blood vessel conspicuity using susceptibility weighted MRI techniques. The figure at right shows a 7T minimum intensity projection susceptibility weighted images showing human brain vascularity at the level of the basal ganglia (click the image to enlarge). The transverse image of panel A was acquired using inherent contrast from deoxyhemoglobin predominantly from veins. The image of panel B was acquired ten minutes post-Ferumoxytol administration and shows all brain vasculature.
  • Xin Li is currently interested in dynamic imaging data-acquisition optimization and modeling. One recent work proposed an improved leakage correction method for Dynamic Susceptibility Contrast MRI using gadolinium (Gd) based contrast agents. Using intravascular Fermmoxytol as reference, relative cerebral blood volume (rCBV) obtained with the new method (d) provides the best match to that offered by Ferumoxytol (e) when compared to alternatives (b and c, click right image to enlarge).

Stroke

Martin Pike: Contiguous Ktrans Maps
  • Drs. PikeStenzel-Poore, and Springer are currently studying stroke injury and neuroprotection mechanisms using mouse models of stroke. The figure at right shows contiguous blood vessel permeability (Ktrans) maps obtained from a 12T dynamic contrast-enhanced MRI experiment (click the right image to enlarge). The maps indicate significant blood brain barrier disruption occurring 4 hours after mid-cerebral artery occlusion in this model.

Treatment effectiveness

Mark Woods: Nano-assembled capsule (click to enlarge)
  • Mark Woods is interested in the development of new, more effective, MRI contrast media. Of particular interest are new contrast agents that target specific tissue pathologies. Improving the effectiveness of gadolinium-based MRI contrast agent is a key goal of our research. This research is exemplified by the figure at right (click the image to enlarge) that demonstrates how a gadolinium-based MRI contrast agent can be encapsulated into a nano-assembled-capsule.
Neuwelt:  Ferumoxytol CE MR Angiography of the supra-aortic arteries (click to enlarge)
  • Affiliate Dr. Edward Neuwelt, working alongside AIRC faculty and staff, is investigating the use of novel blood-pool agents such as Ferumoxytol for the purposes of improving diagnostic imaging. The figure at right (click the image to enlarge) illustrates the first Ferumoxytol CE MR Angiography ever preformed. It demonstrates the supra-aortic arteries in a kidney transplant patient with a glomerular filtration rate (GFR) less than 60 mL/min /1.73 m2, criteria which made the patient a poor candidate for a more conventional Gadolinium-based contrast agent. Large plaque causes significant luminal narrowing at the origin of the innominate artery (red arrows). Carotid bulb shows moderate stenosis on both sides (white arrows). (Neuwelt, Gahramanov, Dosa, Woodward) (Siemens 3T TIM Trio)

  

 

Improving disease measurement in multiple sclerosis

Multiple sclerosis (MS) is an immune-mediated inflammatory disease of the brain and spinal cord that affects almost 2.5 million individuals worldwide, including over 400,000 Americans.

Investigating blood vessel properties and their relationship to disease

Rooney: MS lesion measured by post-contrast T1-weighted MRI data set (click to enlarge)
  • Drs. RooneySpringerLi, Njus, Neuwelt, and Bourdette: Significant blood vessel involvement has long been recognized in MS and at times such features were considered primary disease events. Abnormal blood vessel properties are likely to be among the earliest expressions of MS pathology detectable using imaging techniques. In our lab we apply dynamic MRI acquisitions combined with sophisticated pharmacokinetic modeling techniques to characterize blood vessel properties in MS. Panel (A) in the figure at right (click the image to enlarge) shows an active MS lesion as measured by a post-contrast T1-weighted MRI data set. The views are coronal, axial, and sagittal (clockwise from lower left). Panel (B) quantifies the spatial distribution of blood-brain barrier permeability to a low-molecular weight MRI contrast reagent. The ability to quantify and map cerebral vascular properties accurately, reliably and non-invasively will be important to extend our understanding of MS disease processes, and potentially improve our ability to predict disease course and evaluate new therapies.

       

 

 

Evaluation of regional cerebral ATP metabolism in MS using ultra-high field MRI/MRS

Rooney, Sammi: a 7T MR spectrum from the frontal white matter region of the brain (click to enlarge)
  • Drs. RooneySammi, Cameron, and Bourdette: Magnetic resonance spectroscopy (MRS) techniques use the same basic hardware as MRI and can be used to non-invasively measure multiple aspects of tissue energetics. An overall goal of this project is to evaluate regional cerebral high-energy phosphate metabolism in people with MS. To accomplish this we apply 31P magnetic resonance spectroscopic imaging (MRSI) techniques using our 7T MR instrument. The 7T 31P MR spectrum at right was collected from the thalamic brain region of a healthy human subject (click the image to enlarge). The spectrum is part of a full-brain 3D MRSI acquisition that was collected in 35 minutes using a dedicated quadrature RF coil tuned to 120.3 MHz. The nominal voxel size of 8 cm3 (2 cm isotropic resolution; effective voxel size is larger) is indicated in two dimensions by the blue boxes on the scout water proton MR images at the top right. The signal to noise and spectral resolution were excellent in most brain regions of this volumetric acquisition. G(PE) refers to glycero(phosphoethanolamide), G(PC) is glycero(phosphocholine, Pi is inorganic phosphate, PCr is phosphocreatine, and ATP is adenosine triphosphate.

Evaluating the effect of auditory training on brain function

an example of brain activation of the auditory 7T fMRI study (click to enlarge)
  • In collaboration with investigators (Drs. Lewis, Wilmington, and Lilly) at the Portland Veterans Affairs Medical Center National Center for Rehabilitative Auditory Research (NCRAR) Rooney and colleagues are applying fMRI techniques to investigate central auditory processing deficits and rehabilitation strategies in multiple sclerosis. Auditory processing deficits can have a significant negative impact on quality of life, and may affect up to 50% of people with MS. This study has two general goals: (1) to characterize the central auditory processing deficits in MS; and (2) to evaluate whether or not an auditory training program can improve central auditory processing in people with MS. An example of brain activation measured using an fMRI approach is illustrated in the figure at right (click the image to enlarge). Bilateral noise was played through air-conduction headphones at approximately 75 dBA and acquired at 7T in 3 minutes. Brain activation areas are displayed as color overlay to the T1-weighted anatomic images.

   

 

Affiliated studies

In addition to AIRC faculty research, there are many exciting studies conducted by affiliated Departments and Investigators. For an abbreviated list, see Affiliates.