AIRC 7T Instrument

Description

AIRC 7T Siemens MRI Scanner

The Siemens MAGNETOM 7T instrument is located in the Lamfrom Biomedical Research Building. The RF transmitter unit contains two independent digital RF transmitter channels, each capable of producing pulses with fully digital 1 MHz bandwidth, 32 bit frequency resolution, ≥16 bit phase resolution, and ≤50 ns time resolution.  Eight solid-state RF power amplifiers are included, each capable of producing ≥1 kW over 270-305 MHz.  If combined into one channel, these can produce ≥7 kW.  This configuration also supports B1 shimming when transmit phases and amplitudes are controlled independently and delivered to the phased array head coil. A second RF amplifier is broadband capable (40-305 MHz) with a single 7 kW output. The AVANTO gradient coil set (2000V/625A) is capable of producing field gradients of ≥45 mT/m, with high slew rates ≥200 T/(m*s). 

Technical Info

AIRC 7T Subject Preparation Area
  • Field Strength/1H Frequency: 7 Tesla (T)/298 MHz
  • Clear bore/Working bore: 90 cm/60 cm
  • Gradient Strength/Slew Rate: ≥45 mT/m/ ≥200 T/(m*s)
  • Receiver channels: 32
  • Length/Mass: 3.7m/30 tons (490 tons with iron shield)

Radio Frequency Coils

The 7T MRI is equipped with two transmit/receive quadrature 1H (300 MHz) RF coils [one suitable for human head studies, the other for extremity studies], an 8-channel phased-array transmit/receive 1H (300 MHz) head RF coil, and a 31P (121 MHz) transmit/receive quadrature head RF coil. 

    

Accessories

AIRC 7T Control Room

MR Instruments

     

                                                                                                                                                                                                                                                                                                                   

Sample Images

3D FLAIR Single Slice

3D FLAIR (dark-fluid T2 SPACE): 0.8mm isotropic voxels, TE/TI/TR = 386/2150/8000ms, Turbo-factor = 274, iPAT 2, time 9:38min, single slice from MPRs.  V. Anderson (OHSU) and J. Grinstead (Siemens).

     

  

3D T2 SPACE

3D T2 SPACE: 0.7mm isotropic voxels, Turbo-factor = 280, iPAT 2, time 6:05min, single slice from MPRs.  W. Rooney, M. Sammi (OHSU), J. Grinstead (Siemens).

    

      

     

T2 Star Single Slice

T2* gradient echo: 0.27mm x 0.27mm x 1.3mm (no interpolation), 30 slices, iPAT3, time 6:57min.  W. Rooney, M. Sammi (OHSU), J. Grinstead (Siemens)

   

    

    

SWI Single Slice

SWI 0.2mm x 0.2mm x 1.5mm (no interpolation), 1024x1024 matrix, iPAT3, time 5:17min. W. Rooney, M. Sammi (OHSU), J. Grinstead (Siemens)  

    

    

    

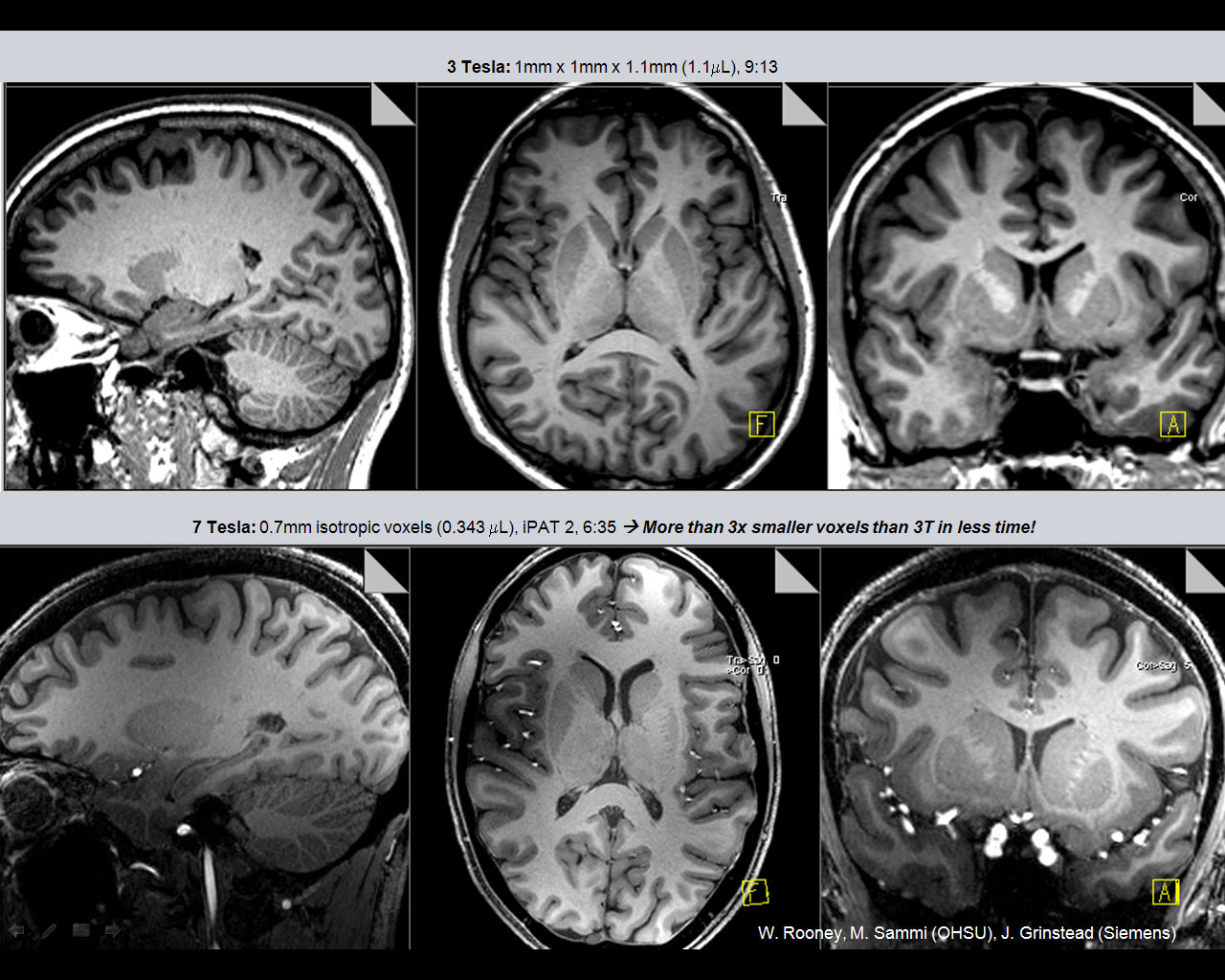
3 Tesla vs 7 Tesla

Comparison of 3 Tesla: 1mm x 1mm x 1.1mm (1.1µL), in time of 9:13min and 7 Tesla: 0.7mm isotropic voxels (0.343 µL), iPAT 2, in time 6:35min.  More than 3x smaller voxels in less time! W. Rooney, M. Sammi (OHSU), J. Grinstead (Siemens)   

    

    

    

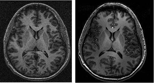
MRI Image Quality Compared at 3T and 3T

MRI image quality compared at 3T and 7T using nearly identical acquisitions and quadrature transmit volume radiofrequency coils.  Signal/noise is improved ~2x at 7T compared to 3T. (Rooney and Grinstead).