Using the AIRC
What we can do
The Advanced Imaging Research Center (AIRC) is home to several cutting-edge research endeavors conducted by AIRC faculty and Affiliates alike.
The AIRC has services and equipment to facilitate a wide range of research topics from Mechanisms of Attention in patients with ADHD to exploring animal models of Multiple Sclerosis in Japanese Macaque primates.
The AIRC has established guidelines to help interested investigators develop and implement MR-based research projects.
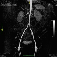
The figure at right is a contrast-enhanced image of Renal and Iliac arteries.
Getting started
- Before beginning
- Step 1: Protocol submission
- Step 2: Protocol review committee meeting
- Step 3: Safety training
- Step 4: Scheduling
Financials
Scheduling MR Services with iLab