About us

Our team’s research vision is to understand the impact of environmental exposures, especially substance use, on reproductive health, pregnancy, and offspring outcomes. Addressing these understudied areas will help develop evidence-driven recommendations, inform patient care, and shape public health measures.

Lab highlights

Our study on chronic delta-9-tetrahydrocannabinol exposure impacting testicular volume and male reproductive health in rhesus macaques was featured on January 27, 2022 on Jimmy Kimmel Live! Key findings were a significant decrease in male reproductive hormones (total testosterone, estradiol) and bilateral testicular volume decreased by 58% (figure below) You can read more on the publication, Chronic exposure to delta-9-tetrahydrocannabinol impacts testicular volume and male reproductive health in rhesus macaques, on PubMed.

In a subsequent study, we demonstrated that discontinuation of chronic THC use in rhesus macaques partially restores adverse impacts to male reproductive health, THC-associated sperm differentially methylated regions in genes important for development, and expression of proteins important for male fertility.  You can read more on the publication, Cessation of chronic delta-9-tetrahydrocannabinol use partially reverses impacts on male fertility and the sperm epigenome in rhesus macaques, on Pubmed

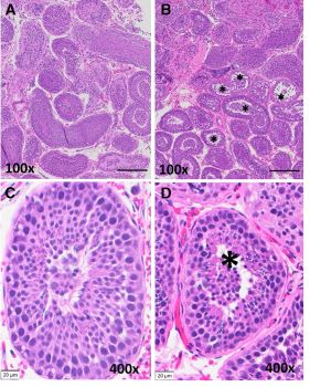
Histopathology of rhesus macaque testicular cells at 100x and 400x

Reduced seminiferous tubule diameter and decreased germ cell layers with THC exposure. Representative rhesus macaque testicular histopathology from the same animal pre-THC exposure (a, c) and after THC exposure (b, d). Seminiferous tubules with reduced diameter and decreased germ cell layers as indicated by the asterisks () were observed in all animals. Scale bar for a and b, 200 μm. Scale bar for c and d, 20 μm.

Systematically Testing the Evidence on Marijuana

Systematically Testing the Evidence on Marijuana

To find out more of what is known from cannabis research and what is left to learn about the health effects of cannabis can be found on the website for Systematically Testing the Evidence on Marijuana (STEM).

OHSU Research and Innovation talked with OHSU investigators about the research they do. The message that came through loud and clear is the thrill discovery brings, the comradery of the OHSU research community and the drive to improve people’s health and well-being.

OHSU Researchers Identify Protective Properties of Amniotic Fluid

Jamie Lo with multidisciplinary research team
Multidisciplinary research team eager to harness the potential of this vital substance to improve prenatal, maternal health

Contact information

If you are interested in one of our projects or equipment/techniques, join the lab, or if you just want to share some information with us, please use one of the channels below.

Email

loj@ohsu.edu

Lab location

505 NW 185th Ave, Beaverton, OR